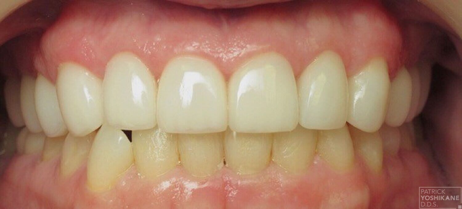
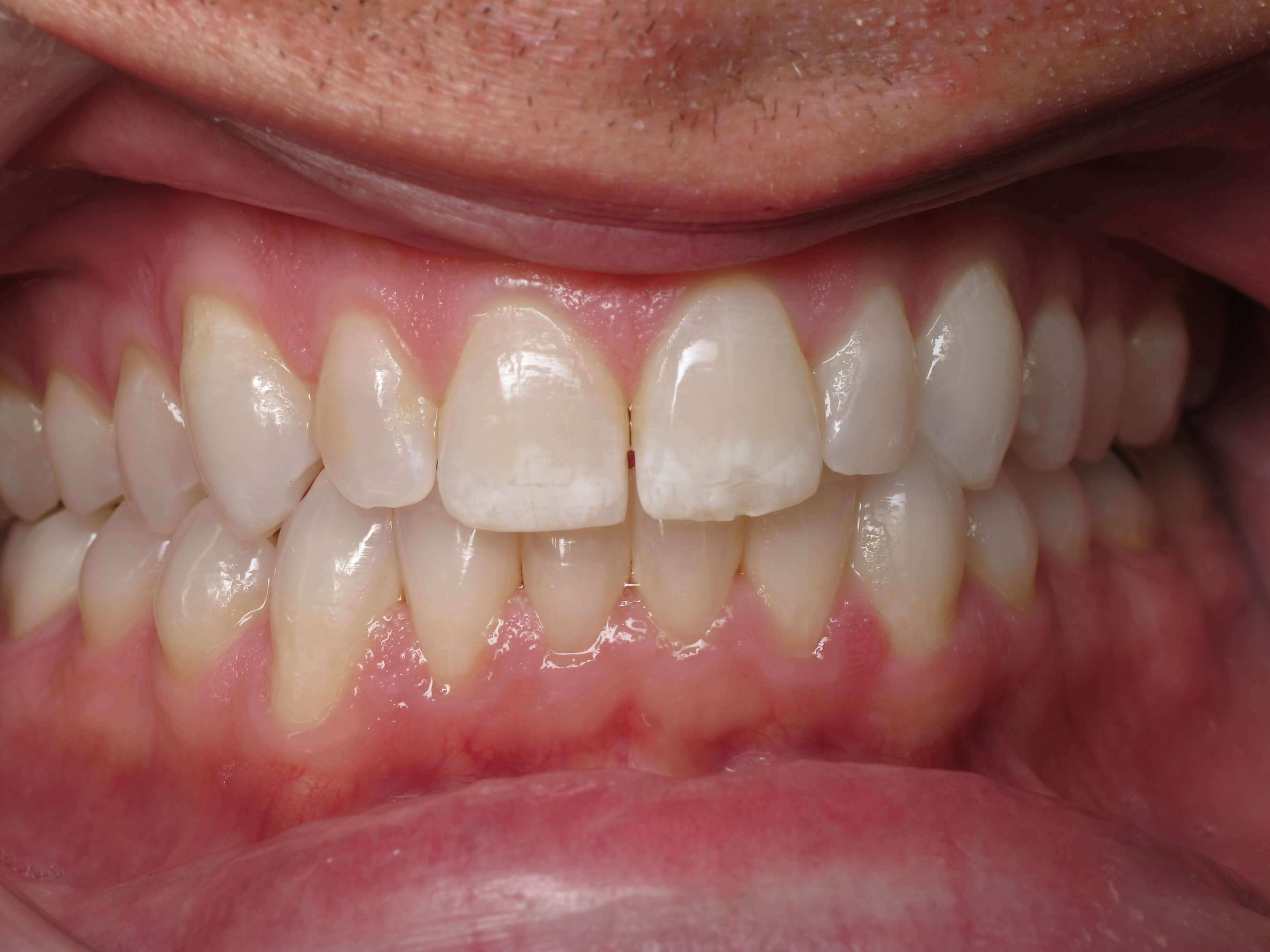
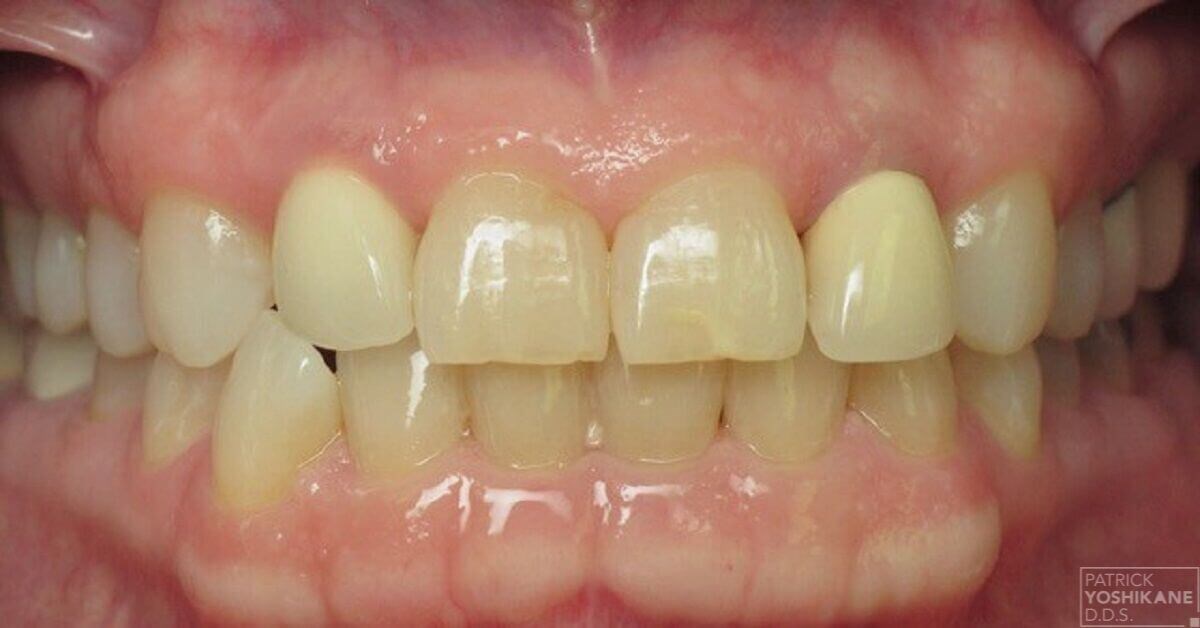
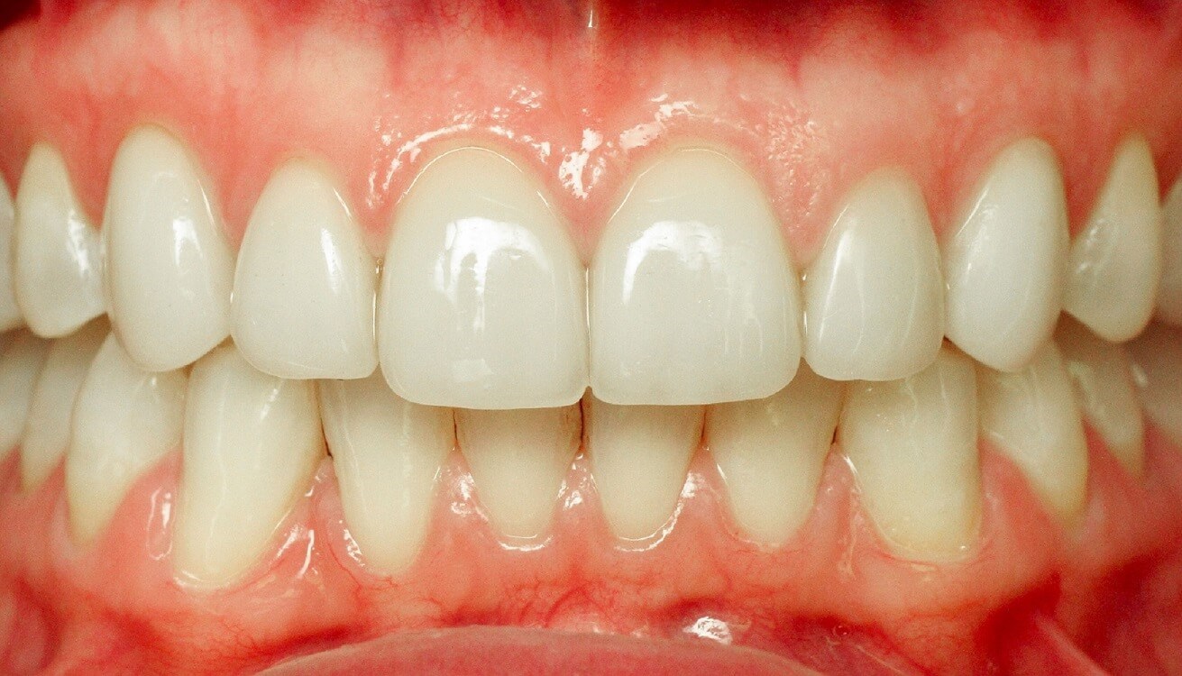
PHOTO GALLERIES
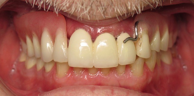
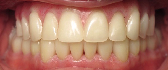
Smile Makeover Service Pictures Near orange, ca
*Individual results are not guaranteed and may vary from person to person. Images may contain models.
*Individual results are not guaranteed and may vary from person to person. Images may contain models.
714-516-1600