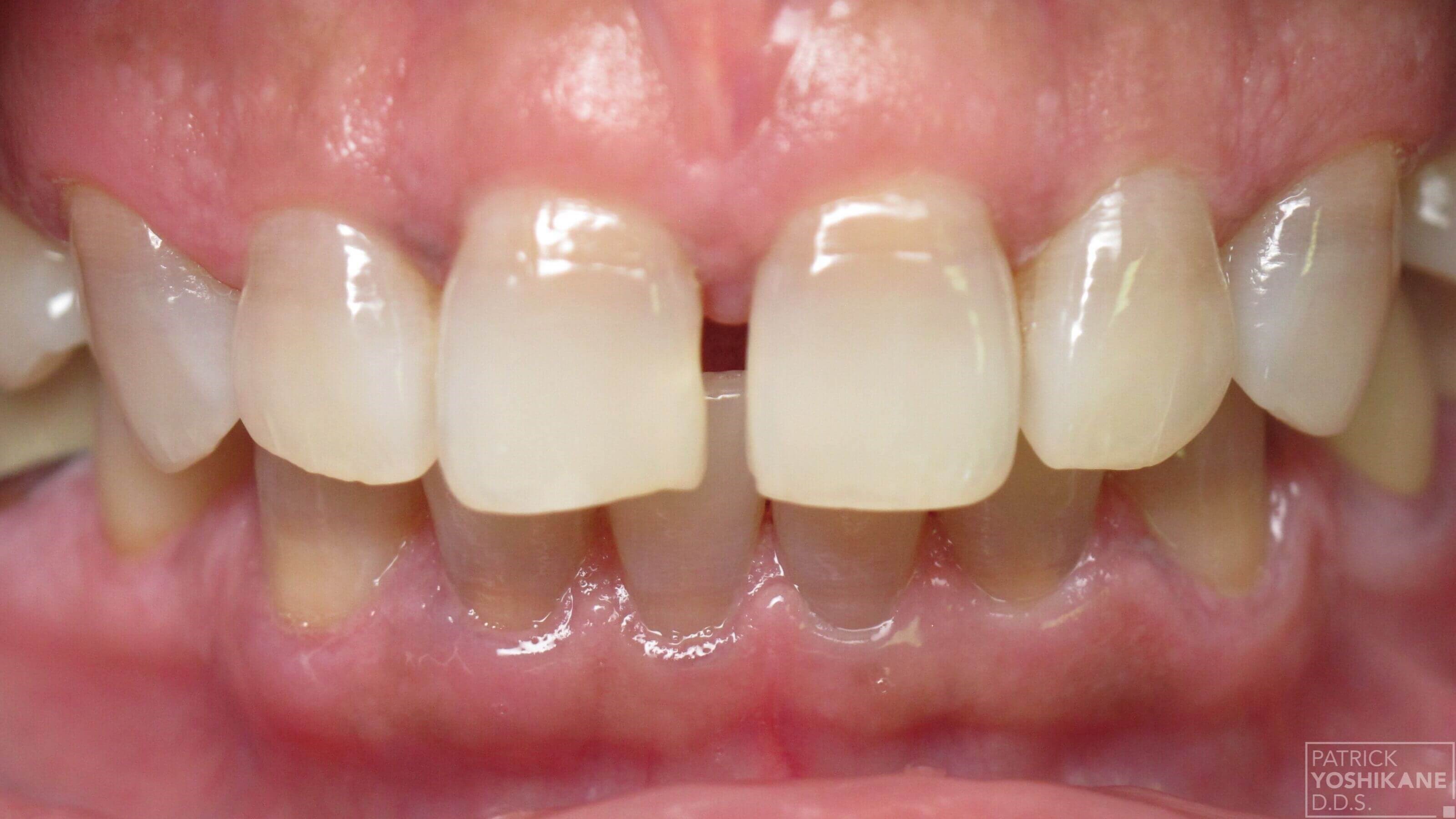
Smile Makeover in Orange, CA by Dr Patrick Yoshikane DDS
Profile
Cosmetic Dentist
714-516-1600
Procedure Details
Location
Popular Searches
* All information subject to change. Images may contain models. Individual results are not guaranteed and may vary.
714-516-1600
